In this month’s Prosthodontips, Josh and Zo take a closer look at RRBs and how to create a favourable long-term solution for a patient.
Resin-retained bridges (RRBs) have been around for decades. However, despite the favourable evidence from long-term clinical studies, they have developed a rather undeserved reputation for failure. Perhaps this is because many people see them as technique-sensitive and difficult to handle. Others may struggle to get the best out of these versatile restorations simply because they are unsure how best to use them.
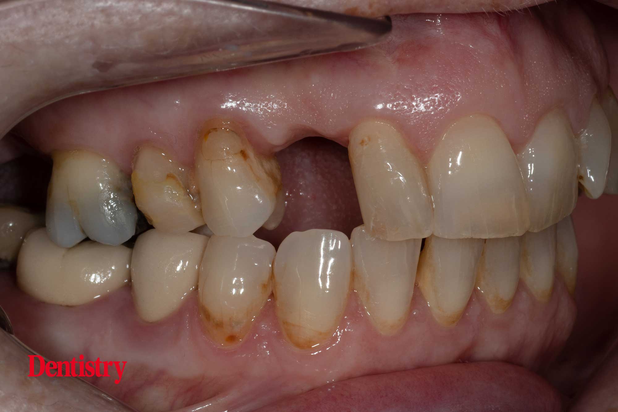
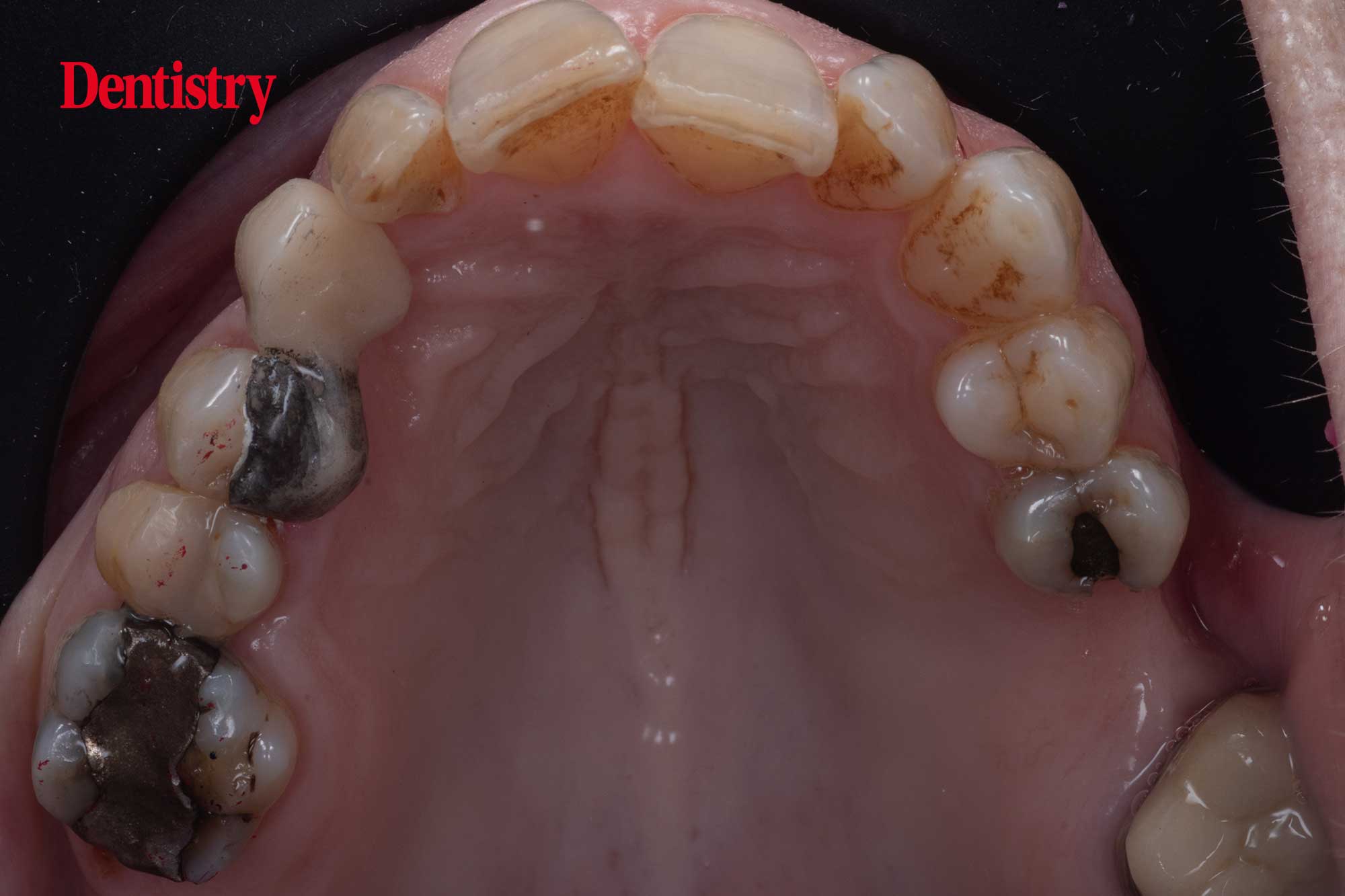
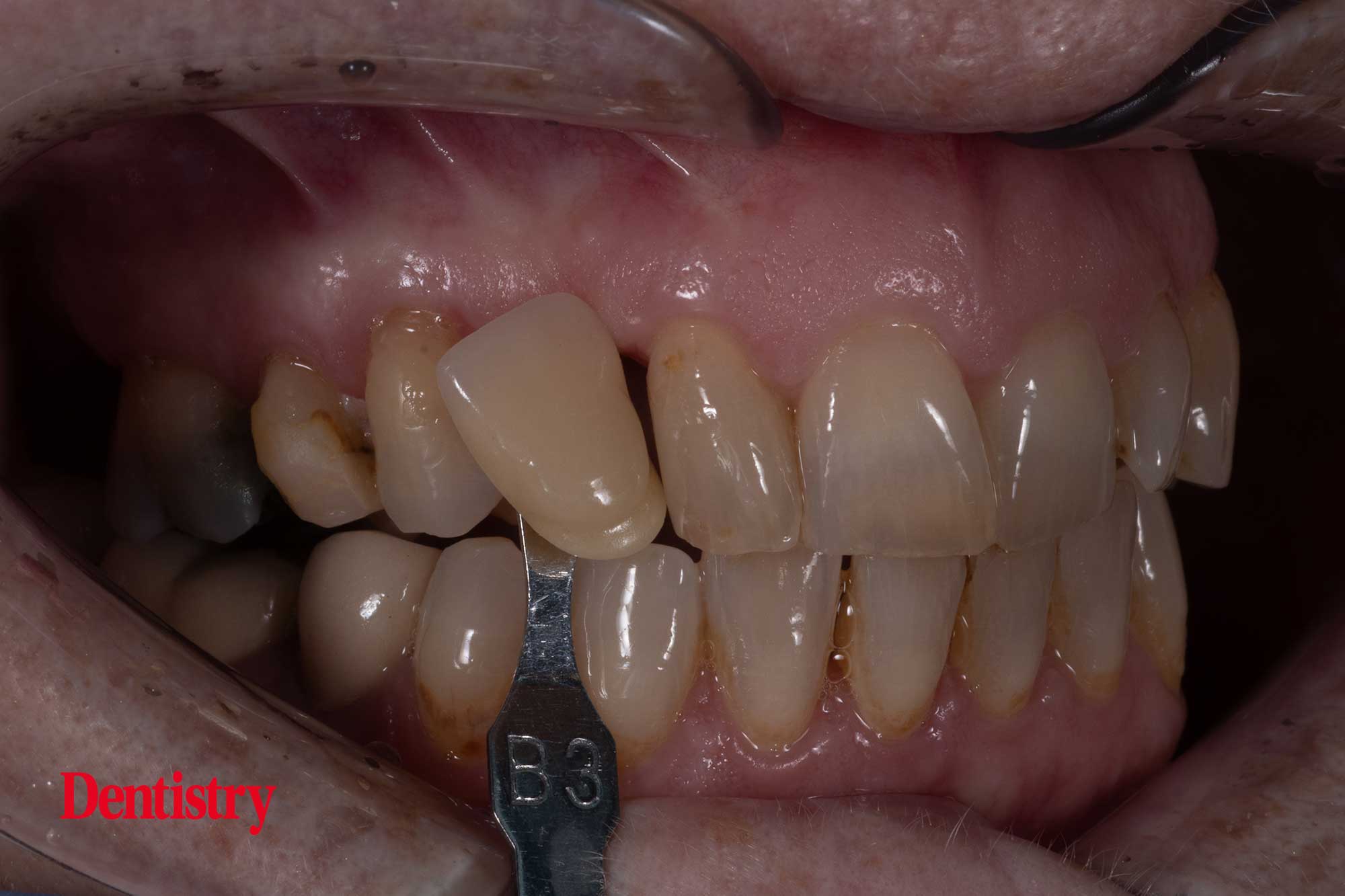
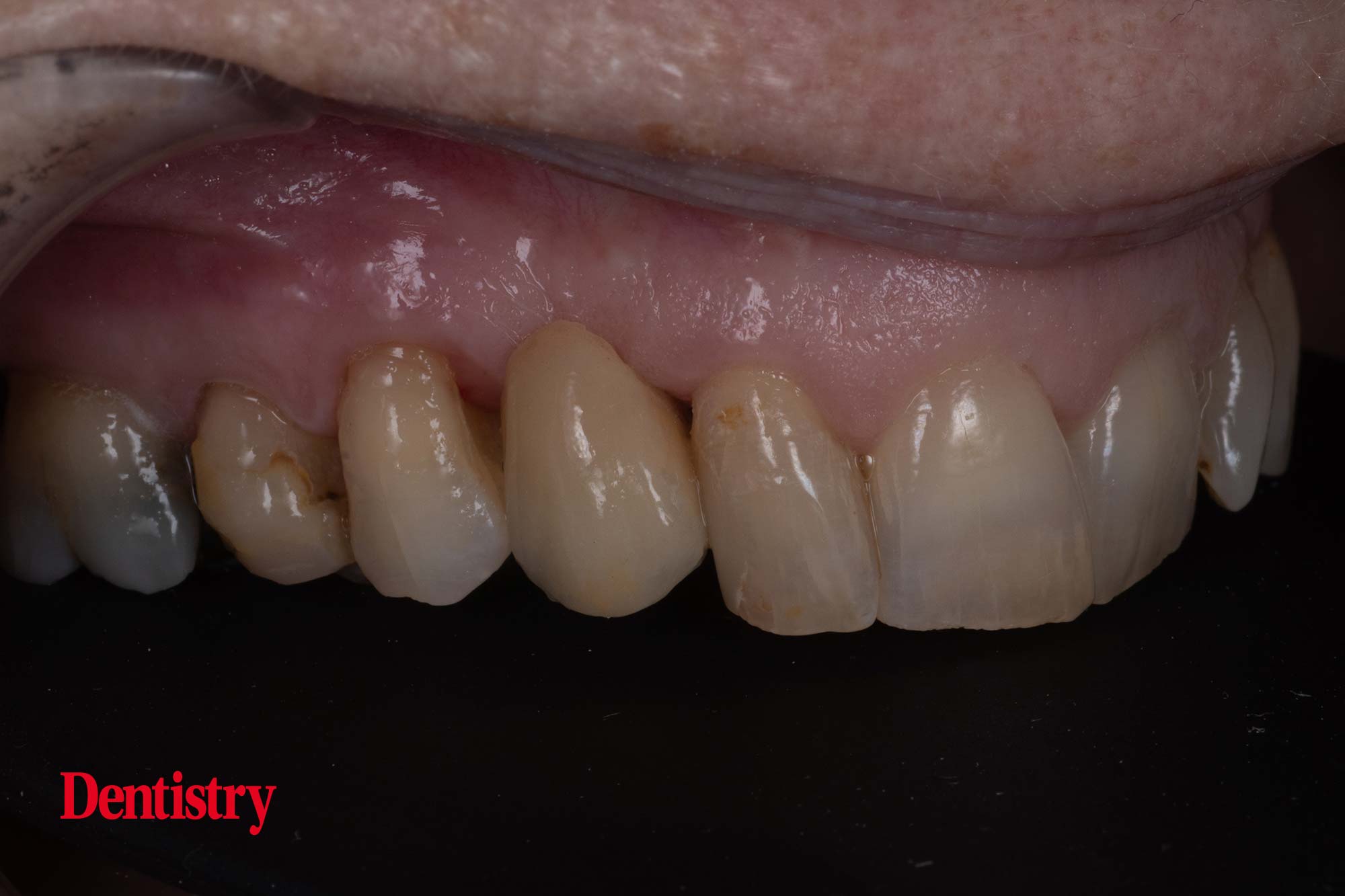
This month, we will address the use of RRBs through the use of a case study. Not much text to read, lots of photos and a very happy patient at the end.
Let us know what you think and if you would prefer this format in the future! Enjoy!
RRB case study
Please keep the questions coming for the Prosthodontips team. You can contact us on Instagram (@sharplingdental and @prostho_zo) and also email (prosthodontips@googlemail.com).
If there are specific topics you would like us to cover in a column, please let us know.
Previous Prosthodontips:
- What’s the solution to occlusion confusion?
- Dental ceramics
- Immediate dentures
- Implant salvage
- Unstuck: composites.
Follow Dentistry.co.uk on Instagram to keep up with all the latest dental news and trends.


















