
This month Josh Sharpling and Zohaib Ali discuss the difficulties over choosing the correct composite material for your restorations.
Composites have quickly become a mainstay of the restorative dentist’s arsenal over the past decade.
With the phase out of amalgam in many countries and practices, there are lots of composite courses out there to help you get the most out of the material.
There is a lot that you can do with it and it is simply no longer used for simple anterior restorations. Nowadays we are seeing its use in everything from the restoration of single posterior teeth to direct full mouth rehabilitations.
This month’s column is therefore all about getting the most out of the material with minimal stress and maximum predictability.
As with everything else in dentistry, a thorough assessment is essential in determining our chances of success from the outset.
With more and more patients requesting composite or ‘bonding’ treatment, a structured approach therefore yields greater predictably and improved patient-centred outcomes.
Case assessment
The assessment of any case needs to include two basic elements:
- Overall assessment of the patient and their presentation
- Intra-oral assessment.
The assessment of the patient is primarily designed to gain an insight into their expectations and psychology. The clinician can then compare this to their presentation. It should quickly become apparent whether the patient has realistic expectations regarding their treatment.
An open and frank discussion about social and dental history should also give plenty of clues as to whether the treatment will be successful.
For example, we may discover the patient has a poor understanding of basic dental health but wishes to have a perfect smile. Or perhaps they are a heavy smoker but expect composite restorations to perform like ceramic equivalents.
In my experience, these are the types of things that often lead to a breakdown of relationship between dentists and their patients.
The intra oral assessment should include a detailed analysis of the particular presenting complaints and their history.
Often, these are primarily aesthetic concerns. Beyond a routine health assessment, a thorough examination should also include:
- Aesthetic assessment
- Shade, position and shape of teeth
- Incisor display
- Gingival aesthetics and symmetry
- Position and orientation of occlusal plane relative to the face
- Occlusal analysis
- Is the intercuspal position stable?
- Conformative versus reorganised approach (discussed in earlier Prosthodontip columns)
- Are the teeth we are treating functionally important?
Fundamentally, the question we should ask ourselves is: ‘Will composite allow us to produce the final result the patient is looking for?’ If not, then we clearly need to consider alternative options.
Technical and operative aspects
Whilst a well thought out consultation is vital, there aremany other aspects to consider when providing care.
One of the most frequent issues I encounter from colleagues is their lack of confidence in providing predictable treatment. That means an ability to produce consistently what their patients are looking for. This is because composite work requires a deep understanding of shade, texture, shapes and spatial awareness to produce optimum outcomes.
So how can we overcome these difficulties?
The best way is to simplify your approach and to think about every small step in providing care:
- Excellent mock up
- Requires high quality study models or scans
- It is the best way to plan and communicate the treatment plan to the patient
- Think about your technique
- Free hand versus guided, layered versus monolithic…there are many different options and combinations
- Your assessment should however, help to guide these decisions
- Each technique has its own advantages and drawbacks which you therefore need to understand
- Pick a composite brand and stick to it
- Don’t keep chopping and changing. You need to learn one system and how it works. Understand how best to polish it and also what it is not good at (eg some composites are very opaque and struggle to produce any translucency)
- Try and choose a composite system that simplifies your workflow. I personally prefer systems that use a dentine and enamel shade only
- Book long appointments
- The worst thing is being under time pressure when you are trying to deliver an aesthetically pleasing outcome. Organise your day to make your life easier and avoid stressful situations
- Plan to finalise the restorations in one appointment
- Contrary to common advice I see, I recommend all treatment should be completed in one visit. Often, I see clinicians being told to build up the restorations in the first visit and then save polishing/finishing for the second visit
- In my experience, I have found that patient satisfaction is much higher if the shape is correct and well-polished on the first visit. I then use the second visit only for very minor alterations and final photographs
- Do a composite trial
- This means trialling your treatment with the actual composite you intend on using
- I generally do this one week prior to definitive restorations to ensure I have the correct composite in stock and I’ve already figured out how much of each shade I am using. It massively reduces my stress on the day of treatment.
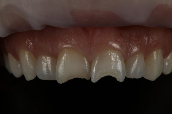
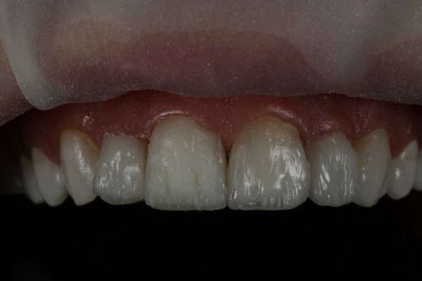
To reinforce these steps a little more, I have also put together a series of case photos below. Hopefully you find these useful and are able to put these simple steps into practice immediately.
Please keep the questions coming for the Prosthodontips team. You can contact us on Instagram (@sharplingdental and @prostho_zo) and also email (prosthodontips@googlemail.com).
If there are specific topics you would like us to cover in a column, please let us know.
Previous Prosthodontips:
Follow Dentistry.co.uk on Instagram to keep up with all the latest dental news and trends.











